AAOS Now, October 2025
-
Video highlights single-incision fasciotomy for compartment syndrome of the lower extremity
Lower-extremity compartment syndrome is a devastating condition if not promptly diagnosed and managed.
-
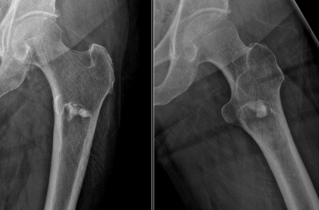
Bone-RADS is a novel scoring system to differentiate lytic bone lesions
Orthopaedic surgeons often encounter radiographic findings that raise concern for undiagnosed malignancies, with diagnoses ranging from benign bone cysts to metastases or primary bone tumors.
-
Radiation exposure is a hidden burden in orthopaedic surgery
This article highlights the known risks associated with radiation exposure and outlines strategies for protection and education.
-
Effective leadership in the OR starts with emotional intelligence
Whether they realize it or not, all orthopaedic surgeons are placed in a position of leadership.
-
Ergonomics in the OR cannot be overlooked
Orthopaedic surgery demands precision, endurance, and strength.
-
‘Can you hear me, doc?’: Is it time to take OR noise seriously?
Repeated exposure to hazardous sound levels can damage cochlear hair cells and cause permanent noise-induced hearing loss .
-
Cognitive ergonomics can reduce the burden of mental fatigue
For orthopaedic surgeons, the challenge of cognitive fatigue is often unavoidable.
-
Sponsored Video: Not all sNPWT products are equally supported
The PICO System has been shown to reduce the odds of SSIs2 and costly surgical reinterventions.